相信大家小時候經常會被媽媽教育:不能看紅眼病人的眼睛,小心被傳染。從小就乖乖聽話的我們一旦發現有疑似紅眼病的同學,就趕緊逃離他“熾熱”的目光。
學習眼科知識之后才知道,普通紅眼病(急性結膜炎)光看眼睛是不會被傳染的,而是會通過接觸性傳染,比如和患者握手、共用毛巾等。

一說到傳染病,大家的汗毛就要豎起來了,其實紅眼病雖然具備傳染性,但大多數不會對視力造成影響,治療也相對比較容易。而另外一種與紅眼病類似的“鞏膜炎”,沒有傳染性卻比紅眼病可怕得多,因為它有可能引發致盲性的并發癥,導致視力喪失。
同樣是“紅”,它們到底哪里不一樣?
由于鞏膜炎和紅眼病都會產生眼紅的癥狀,很容易讓人混淆。其實仔細辨別,二者還是有較大區別的。
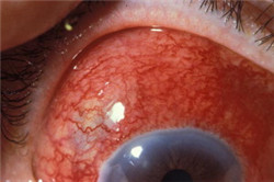
紅眼病在醫學上稱為急性結膜炎,聽名字就知道是發生在結膜位置,多因病毒或細菌感染所引起。表現為結膜血管充血,外觀呈現鮮紅色,在推動結膜的時候血管會隨著一起移動。

鞏膜炎則發生在鞏膜(俗稱的眼白)部位,多與一些其他疾病有關,如梅毒、結核、類風濕關節炎等。表現為鞏膜的血管擴張出血,外觀呈現暗紅色或者紫紅色,推動結膜時血管不會跟著移動。

不過,無論眼睛出現哪種“紅”,都是眼睛發出的警示信號,應上正規的眼科醫院做檢查并配合醫生積極治療。
鞏膜炎,難以承受的眼睛之痛
生命之輕很多人沒有體驗過,但難以承受的眼睛之痛卻讓鞏膜炎患者深有體會。鞏膜炎根據發病位置的不同,分為前鞏膜炎和后鞏膜炎。
其中前鞏膜炎發病于鞏膜前方,即人眼可見的眼白部分,多為雙眼發病。患者會產生劇烈的疼痛感,而且這種疼痛還會發散至眼睛周圍,產生畏光、流淚等癥狀。眼睛作為身體中非常敏感的部位之一,一旦發生如此劇烈的疼痛,真的會有點讓人難以忍受。

后鞏膜炎則發生于鞏膜后方,多為單眼發病,在眼前段沒有明顯的癥狀。一般表現為眼紅、視力下降,以及不同程度的眼痛、壓痛等癥狀,有時可產生劇烈的眼痛和頭痛,甚至伴有恐懼感。
生理上的痛難以承受,但令人更“痛”的是:鞏膜炎如果不及時治療,有可能引發嚴重的致盲性并發癥,對眼睛造成難以恢復的傷害。比如鞏膜壞死、葡萄膜炎、白內障、青光眼等。
鞏膜炎治療:找出病因,對癥治療
鞏膜炎很少是因為感染或者外傷引起,大多與一些慢性感染病或者全身性免疫疾病有關。因此,上海眼科醫院認為:針對鞏膜炎的治療需要找出病因,對癥治療。 》》》立即咨詢客服
對于全身性疾病所引起的鞏膜炎,需要針對這些疾病進行相應治療,比如治療類風濕疾病等;若有感染存在,需要進行抗生素治療;而對于炎癥本身,則需要局部滴用類固醇藥物或者口服類固醇藥物,來緩解眼部疼痛以及炎癥。

有些病人可能發現得早,在早期就進行了積極的消炎治療,那么并發癥產生的風險會大大降低。但對于一些炎癥反復發作或者沒有得到及時治療的病人,可能并發癥已經產生了,比如眼壓升高引發了青光眼,就需要盡快降低眼壓。對于鞏膜已經發生穿孔或壞死的部位,希瑪眼科的醫生便會考慮為病人進行鞏膜加固手術或者異體鞏膜移植手術。
正是因為鞏膜炎與我們俗稱的紅眼病在某些癥狀上有些類似,所以才容易讓大家誤解。還有的人自己去藥店買消炎藥水滴用,不僅紅眼癥狀沒有消除,反而耽誤了鞏膜炎的治療,就得不償失了。所以小編提醒大家:一旦眼睛出現異常的紅眼癥狀,應及時去眼科醫院找醫生治療。