除了居家隔離,人們為了防御新型冠狀病毒,可謂是用盡了一切辦法。戴口罩、酒精消毒、勤洗雙手......

除此之外,還有人使用紫外線消毒燈進行病毒殺滅,雖然紫外線確實能夠滅活病毒,但如果操作方法不當,很容易對眼睛造成傷害,可千萬要小心!
紫外線,隱形的眼睛“殺手”
我們知道,新型冠狀病毒其中一個特性就是對熱和紫外線敏感,所以使用紫外線燈殺病毒是可行的。但在使用過程中,應掌握正確的使用方法,并且在無其他人的條件下操作,自己也應該戴好防護眼鏡。
為什么說要戴好防護眼鏡呢?這是因為紫外線除了能消滅病毒,同時也可能對眼睛的角膜、晶體和視網膜造成損傷。由于紫外線跟紅外線一樣,都屬于不可見的光,常常被稱為隱形的眼睛“殺手”。

需要注意的是,紫外線對眼睛的影響也有急性和慢性之分。
急性是指大量紫外線進入眼睛,可造成眼角膜被灼傷,出現眼睛畏光、刺痛、眼紅、流淚等不適癥狀,這種情形也被稱為電光性眼炎。比如使用紫外線燈不當、長時間滑雪或燒焊工作卻不戴防護眼罩等都有可能導致電光性眼炎的發生。
慢性則是指眼睛日積月累受到紫外線的侵損而引發眼疾,如翼狀胬肉產生的其中一個因素就是長期受到紫外線影響而形成。此外,白內障和黃斑退化的形成也可能跟長期接觸紫外線有關。
紫外線照射眼睛導致電光性眼炎,如何是好?
電光性眼炎指的是眼睛因紫外線對眼角膜以及結膜上皮造成損傷而引起的炎癥,主要癥狀是眼瞼充血紅腫、結膜充血水腫、眼睛干癢、眼睛刺痛、流淚。

對于電光性眼炎,好的辦法就是防患于未然,即做好防護措施。比如在燒電焊時應正確戴好電焊面罩,不僅可以避免眼睛受傷害,還能夠保護面部皮膚;在滑雪的時候則應佩戴滑雪專用護目鏡。
如果眼睛不幸受到了紫外線的傷害,比如使用紫外線消毒燈后眼睛出現了不適癥狀,應及時看醫生。一般來說,如果癥狀較輕,用藥之后大部分人在1-2天內可以恢復。如果眼睛受到紫外線照射時間過長且能量過大,就有可能發生嚴重的角膜炎甚至角膜潰瘍,甚至對視力產生影響,需要住院治療。
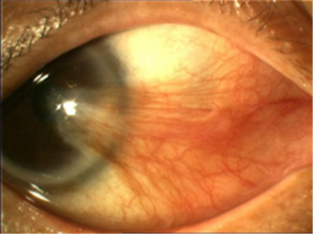
胬肉面積過大可影響視力,需進行手術治療
翼狀胬肉是一種不健康的組織,由結膜向角膜的中央生長,因其呈現出的形狀與昆蟲的翅膀很相似而得名。若患上翼狀胬肉,可導致眼睛表面的淚液層分布不均,引發間歇性的視力模糊。而當胬肉生長過快、面積過大時,還有可能嚴重遮蓋住瞳孔,使得視力受影響。

翼狀胬肉的產生可與自身因素和環境因素有關,自身因素包括淚液分泌異常、遺傳因素等,而環境因素主要指的就是長期受到紫外線的慢性侵損,所以農民、漁民等戶外工作者常常是翼狀胬肉的高發人群。
一般來說,如果胬肉小于3mm且無任何不適癥狀,可以不用治療;但胬肉大于3mm或者影響到了視力,就需要考慮進行手術治療了。在上海近視手術眼科醫院,針對翼狀胬肉的手術治療主要采用聯合治療的方式,即在切除胬肉的同時,聯合抗代謝藥物治療或者自體結膜移植術,有助于降低胬肉再次生長的可能性。

看完這篇文章后,相信你對紫外線的“威力”已經十分了解了,所以大家如果要使用紫外線燈進行消毒,可要做好對眼睛的防護措施喲! 》》》立即咨詢客服