上海眼科醫院說起皰疹,有人可能會想到皮膚病,這是因為皰疹確實多發于皮膚黏膜交界處,比如口腔外側、牙齦、鼻子等。但單純皰疹病毒可不像其名字一樣“單純”,它還可能會感染眼睛。

單純皰疹角膜炎就是因為感染了單純皰疹病毒而產生的,大部分人初次感染單純皰疹病毒發生在小時候。之后當自身免疫力降低時,潛伏在神經節內的病毒就可能開始“作亂”,若三叉神經節中含有單純皰疹病毒,就有可能引起角膜炎。
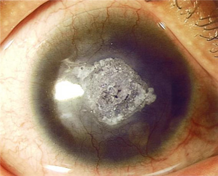
有“形狀”的角膜炎,到底咋回事?
要知道,我們眼睛的角膜含有大量的神經末梢組織,很容易就成為單純皰疹病毒“光顧”的對象。而單純皰疹病毒引起的角膜感染主要表現為以下三種類型:
1.樹枝狀角膜炎
病毒感染發生在角膜上皮層時,可造成角膜上皮破損,這些破損連結形成的潰瘍形狀看起來就像樹枝。隨著病情發展,由于潰瘍末端破裂的小泡還能再次形成潰瘍,“樹枝面積”也會不斷增大。

2. 圓盤狀角膜炎
病毒感染發生在角膜基質時,可在角膜形成圓盤狀的水腫,角膜也會因此增厚。樹枝狀角膜炎病情發展或者直接感染角膜基質都有可能形成圓盤狀角膜炎,有時候還會合并前葡萄膜炎,引起眼壓升高。
3. 壞死性基質角膜炎
病毒感染發生在角膜內層的基質組織時,就變得十分嚴重了。因為強烈的免疫反應可導致角膜溶解、壞死,甚至發生角膜穿孔。若因此出現了角膜疤痕,可對視力造成嚴重影響。

對于這三種單純皰疹病毒感染引起的角膜炎,如果沒有及時進行治療,很容易引起角膜血管增生以及角膜疤痕出現,對視力造成的影響可就很難恢復了,甚至還可能需要進行角膜移植。
單純皰疹角膜炎的常見癥狀,千萬別忽視
需要注意的是,單純皰疹病毒有機會破壞角膜的神經末梢,使得原本敏感的角膜神經組織變得十分遲鈍。所以即使患者角膜已經出現破損潰爛的情況,也很可能不會出現明顯的疼痛感,常常容易被忽視。

一般來說,發生單純皰疹角膜炎時,會出現視力下降、眼紅、流淚、畏光等癥狀。而圓盤狀角膜炎患者,其角膜內皮下方還可能出現炎癥所致的沉積物,或者前房內漂浮著發炎的細胞,出現眼壓升高的情況。所以當眼睛出現不適時,需要引起重視,應及時前往醫院就診。
治療單純皰疹角膜炎需用藥,但應在醫生指導下進行
對于單純皰疹角膜炎,主要通過藥物進行治療,但不建議自行使用藥物。這是因為不同類型的皰疹角膜炎,用藥也會有所不一樣,而且需在專業醫生指導下進行。
大多數患者都屬于樹枝狀角膜炎,對于這種類型的皰疹角膜炎,一般需要局部使用抗病毒的眼藥水或者眼藥膏,并口服抗病毒藥物來進行治療。
而針對圓盤狀角膜炎患者,除了需要使用抗病毒藥劑,上海眼科醫院還會考慮適當使用類固醇藥物,來緩解患者的角膜水腫以及發炎反應。如果角膜發生了破損或潰瘍,具體也要根據患者的實際病情制定合適的治療方案來降低視力受損的風險,患者也得做好“打持久戰”的準備。

另外一種壞死性基質角膜炎,雖然比較少見,卻十分可怕。除了需要口服和局部使用抗病毒藥物外,還需要通過高劑量類固醇制劑來降低自體免疫反應。
需要注意的是,單純皰疹角膜炎復發的可能性比較大,如果反復發作很可能形成角膜白斑,甚至有失明的風險。但如果發現及時,并積極配合醫生進行合理的治療,也能夠大大降低復發的可能性。 》》》立即咨詢客服