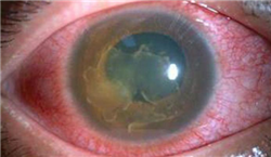
疾病往往通過癥狀表現出來,但即使是不同的疾病,也可能有著類似的癥狀,容易讓人混淆。比如出現眼痛、怕光、流淚、視力下降等癥狀時,你可能以為只是沙眼,但也有另外一種可能:得了葡萄膜炎。
“小編,等等,葡萄我聽說過,我也非常喜歡吃,但葡萄膜炎又是個什么東東?”

其實葡萄膜是我們眼部的一個組織,含有豐富的血管以及色素,因形似紫色的葡萄而得名。葡萄膜炎則泛指發生于葡萄膜、視網膜血管和玻璃體的炎癥。如果不及時治療,就可能對視力造成威脅,嚴重可致失明。
根據發病部位不同,葡萄膜炎分為這三種類型
葡萄膜由前向后分為虹膜,睫狀體和脈絡膜,根據發病部位的不同,葡萄膜炎可分為前葡萄膜炎、后葡萄膜炎和全葡萄膜炎三種類型。要知道,不同類型的葡萄膜炎,它們表現的癥狀以及嚴重程度都有所區別。
前葡萄膜炎:虹膜及其相鄰組織發生炎癥,就屬于前葡萄膜炎。有的患者可以沒有明顯表現,也有的患者表現為眼紅、眼疼、怕光、流淚、視力減退等癥狀。若未及時治療,其炎癥細胞和滲出可對視力造成嚴重影響,以及產生白內障、繼發性青光眼、眼球萎縮等并發癥。

后葡萄膜炎:玻璃體、脈絡膜、視網膜及視神經組織發生炎癥時,就屬于后葡萄膜炎。
全葡萄膜炎:顧名思義,全葡萄膜炎則涉及到整個葡萄膜組織和玻璃體、視網膜、視神經。
其中,后葡萄膜炎和全葡萄膜炎癥狀比較相似。當炎癥只影響到玻璃體及視網膜時,就會出現飛蚊、閃光癥狀,一般不會對視力造成較大影響;但如果炎癥影響到了視神經或者黃斑區,便可能對視力造成影響,出現視野缺損、視野中央有暗點等癥狀。
“好端端”的,為什么會得葡萄膜炎?
有些患者在得知自己患上葡萄膜炎時,會有點想不通:為什么我會得葡萄膜炎呢?一般來說,葡萄膜炎的成因比較復雜,包括感染、外傷、自身免疫及免疫遺傳等因素。
感染因素包括細菌、真菌、病毒、寄生蟲等病原體,都有可能引發葡萄膜炎;當眼內組織因外傷而受到損傷時,如果啟動了身體的免疫反應,也可能導致葡萄膜炎。

而在葡萄膜炎的發病中,患者自身免疫反應起著比較重要的作用,所以葡萄膜炎大多數與全身性自身性免疫疾病有著密不可分的聯系。無論是何種原因導致的葡萄膜炎,如果沒有得到及時治療,很容易導致視網膜細胞損傷而對視力造成嚴重破壞。
上海眼科醫院排名:根據患者病情,制定合理治療方案
由于葡萄膜炎成因復雜又難以預防,因此對于葡萄膜炎這種眼病,早發現并合理治療十分重要。小編在這里提醒大家,如果出現眼痛、眼紅、怕光、流淚、視力下降等癥狀,或者眼睛不紅不腫,但出現飛蚊、閃光、視物模糊等癥狀時,應及時前往醫院就診。
在上海眼科醫院排名治療葡萄膜炎,根據患者病情不同,所采用的治療方案也是不一樣的:
1、針對原本疾病治療:如果因為感染、外傷、腫瘤引起的葡萄膜炎,則需要針對原本疾病進行治療。
2、控制發炎情況:如果患者患有風濕關節炎、系統性紅斑狼瘡等疾病,可以通過類固醇藥物來控制炎癥。

3、預防并發癥產生:對于不明原因導致的葡萄膜炎,可以使用散瞳劑、類固醇藥物或者全身性免疫抑制劑來預防可能導致視力受損的并發癥產生。
4、針對并發癥進行治療:如果患者并發繼發性青光眼,除了要使用藥物進行消炎治療,還需要通過藥物降低患者眼壓,必要時可能要考慮通過手術重新打開房水的排出通道。而對于并發白內障的患者,可以在炎癥得到較好控制后進行白內障手術。 》》》立即咨詢客服