我們經常將翼狀胬肉比喻成眼睛里的“小翅膀”,但這個“小翅膀”可不像它的名字那般美好。除了影響眼睛外觀,翼狀胬肉有的時候還會影響視力,對患者的生活造成極大困擾。

對于過大的胬肉,一般需要將其手術切除。但由于翼狀胬肉切除之后有“復發”的可能性,使得患者十分猶豫:手術做了會不會沒用?
其實,翼狀胬肉術后是否容易“復發”,與手術方式的選擇有一定關系。
翼狀胬肉過大可影響視力,這四種情況應考慮手術切除
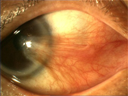
翼狀胬肉是一種較為常見的結膜變性眼疾,外觀看起來就像眼睛里長了息肉,由于其形狀與昆蟲翅膀相像,故被命名為翼狀胬肉。
在病變早期時,患者可能不會有自覺癥狀;當胬肉逐漸增大,可能會出現眼紅、眼睛有異物感等癥狀;隨著胬肉像角膜中心方向生長,可牽扯角膜造成視力障礙,甚至形成角膜疤痕,對視力造成較為嚴重的影響;當胬肉過大時,還可能影響眼球的運動。

大部分的胬肉都屬于靜止期,其病變組織相對較薄,且發展緩慢,如果無不適癥狀或者大小未超過3mm,可暫時先觀察,無需治療。而活動期的胬肉病變組織肥厚、充血,可侵犯前方的角膜,擋住瞳孔而影響視力。
簡單來說,有四種情況需要考慮接受手術治療:
1、胬肉≥3mm,對視力造成影響;
2、胬肉長期引起嚴重不適癥狀或者眼部發炎;
3、胬肉伸展至角膜時,牽扯角膜引起嚴重散光;
4、胬肉過大影響到眼球轉動。
上海眼科醫院排名:采取聯合治療方法,可降低“復發”風險
用一句話來說,治療翼狀胬肉的方式就是將胬肉切除。由于翼狀胬肉“復發”可能與翼狀胬肉切除的干凈程度以及所保留的翼狀胬肉上的結膜有關,傳統單純胬肉手術切除僅將胬肉全部切除,但仍保留了胬肉上面部分健康的結膜組織,術后“復發”的可能性很大。

考慮到此,上海眼科醫院排名更傾向于采取聯合治療方法,即胬肉切除聯合絲裂霉素C治療或者胬肉切除聯合自體結膜移植術。
1、胬肉切除聯合絲裂霉素C治療:在切除胬肉的同時,在病變區域使用絲裂霉素C藥物。由于絲裂霉素C屬于抗代謝藥物,可以幫助術后減少瘢痕組織的增生,從而降低術后“復發”的可能性。
2、胬肉切除聯合自體結膜移植術:將胬肉切除后,取患者自身健康的結膜作為植片,覆蓋在切除病變區域的鞏膜上。由于健康的結膜含有干細胞,此種方式可以幫助組織恢復并降低術后“復發”的風險,適合體積較大且較充血肥厚、生長較快的胬肉,或胬肉切除手術中結膜缺失較多的患者。

上海眼科醫院排名提醒您:除了選擇合適的手術方式,患者在術后還應避免長時間暴露于紫外線、風沙刺激等環境,以預防翼狀胬肉“復發”。 》》》立即咨詢客服