上海眼科醫院一說起致盲性眼病,白內障和青光眼更為人所知,但殊不知還有一種眼病,經常跟白內障和青光眼被稱為三大致盲性眼病,那便是黃斑變性。

別說黃斑變性,很多人連黃斑是什么都不清楚,甚至以為黃斑是長在臉上的斑。其實黃斑是位于視網膜中心位置的視力敏感區,若此部位發生了病變,中心視力也會受到影響,嚴重時還可能失明。
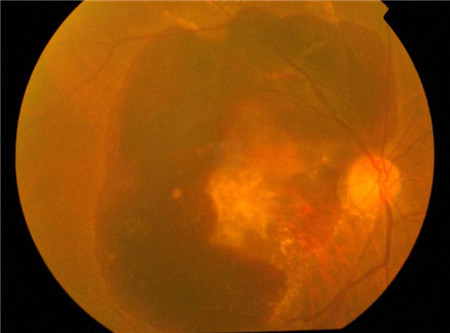
與年齡相關的黃斑變性,你是否了解?
黃斑變性主要與年齡有關,隨著年齡的增長,患上黃斑變性的可能性也越大,所以也被稱為年齡相關性黃斑變性。
其實,通常我們說到與年齡有關的眼病,很多人想到的都是白內障,大多數白內障患者在接受手術治療后能夠獲得良好視力。但由于人們對黃斑變性的認識和關注度都不夠,很容易因此耽誤治療,這是十分危險的。

要知道,黃斑變性有干性黃斑變性和濕性黃斑變性兩種情況,干性黃斑變性大多對視力不造成影響。而另一種濕性黃斑病變是因脈絡膜異常增生血管所致,這些不正常的血管很容易發生出血和滲漏,如果不及時進行治療,黃斑區的感光細胞便會被聚集于此的血液和滲出物破壞。若感光細胞受到破壞,視力遭到損害后很難恢復。
預防黃斑變性,可以這樣做
既然黃斑變性如此可怕,那么有沒有辦法可以預防呢?一般來說,黃斑變性除了與年齡有關,還有一些外在因素可增加黃斑變性發生的風險。年齡和遺傳因素無法改變,但我們可以在生活中保持好的習慣來預防黃斑變性:
1.飲食
黃斑變性與高脂肪的飲食習慣和吸煙有一定關系。建議大家多吃瓜果蔬菜,適量補充維生素C、維生素E、胡蘿卜素、葉黃素、玉米黃質;少吃脂肪、膽固醇含量高的食品,比如油炸食品、肥肉、動物內臟、奶油食品等;有吸煙習慣的朋友,需要戒掉香煙。
2.用眼
盡量減少使用手機、電腦等電子產品的時間,閱讀時要保持合適的距離,保證充足的睡眠時間和質量,緩解眼睛的疲勞。

3.戶外
過度的日光照射有可能會增加黃斑變性的風險,建議在進行戶外活動時應戴上合適的太陽眼鏡避免過量接觸有害的藍色光譜。
除此之外,如果患有高血壓、高血脂、糖尿病等全身疾病,應積極治療,可降低黃斑變性發生的可能性;若家族中有黃斑變性患者,家族成員應定期檢查眼底和視功能,即使患有黃斑變性也有助于及時治療。
及時治療黃斑變性,將失明“擋在門外”
雖然黃斑變性具有可致盲性,但不代表得了黃斑變性就一定會瞎,前提是需要及時治療。若出現了視物模糊、視物變形、視野中心有黑點,比如直線看成彎曲、圖像傾斜等,這些都有可能是黃斑變性的癥狀,需要及時前往醫院進行診治。
大部分黃斑變性的患者屬于干性,由于對視力影響小,一般不需要特殊治療,但需要警惕病情惡化轉變成濕性黃斑變性。對于濕性黃斑變性,上海眼科醫院主要采取玻璃體內注射抗血管內皮因子藥物的治療方法,也有的患者可能需要結合光動力療法﹑玻璃體注射類固醇及抗血管內皮生長因子藥物三種方法進行治療。
抗血管內皮生長因子藥物治療有助于預防患者視力進一步遭受破壞,在一定程度上還有機會幫助患者改善視力。大部分濕性黃斑變性患者在接受玻璃體內藥物注射治療后,視力可趨于穩定狀態。

總的來說,黃斑變性在一定程度上是有機會預防的,即使患上了黃斑變性在經過及時的治療后,也并非那么可怕。而令人擔憂的是,大部分人對黃斑變性不甚了解,還可能因此錯過好的治療時機。所以建議大家平時在生活中除了需要積極預防之外,尤其是老年人還應養成定期檢查眼科的習慣。 》》》立即咨詢客服